Izvor: Press, 16.Sep.2008, 22:37 (ažurirano 02.Apr.2020.)
PROGUTAO POLA KILA KOKAINA
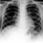
Makedonac Pece Stoičevski (21), koji je uhapšen na aerodromu u Beogradu sa kokainom u stomaku, rekao na suđenju da su
ga albanski mafijaši naterali da proguta 41 kesicu sa drogom
Pece Stoičevski (21), državljanin Makedonije, koji je na beogradskom aerodromu uhapšen sa pola kilograma kokaina u stomaku, rekao je na početku suđenja u Palati pravde da su ga albanski mafijaši prisilili da proguta 41 kesicu sa drogom! Pece...
Napomena: Ova vest je automatizovano (softverski) preuzeta sa sajta Press. Nije preneta ručno, niti proverena od strane uredništva portala "Vesti.rs", već je preneta automatski, računajući na savesnost i dobru nameru sajta Press. Ukoliko vest (članak) sadrži netačne navode, vređa nekog, ili krši nečija autorska prava - molimo Vas da nas o tome ODMAH obavestite obavestite kako bismo uklonili sporni sadržaj.












